Queen’s Stipendiary Lecturer in Medicine Dr Nikolaos Kanellakis has recently published a study in the European Respiratory Journal. His group’s research found that not all infections around the lungs are alike. We asked him to tell us what this means for patients.
What is a pleural infection, and how does it affect people?
Pleural infection is an infectious disease which affects the area outside the lungs. Bacteria can invade that space and cause an infection. This is usually but not always an outcome of pneumonia. It is a severe disease as patients need to get into a hospital and they usually stay there for two weeks. Â
What did your study uncover about these infections that doctors didn’t know before?
Our study showed that there are different biological endotypes of the infection. Patients show different clinical phenotypes this means that some have more severe symptoms and take longer to recover than others. It is important to understand the biological differences of these patients as then we could identify the severe pleural infection patients and treat them accordingly.Â
Why does this matter for patients and could this help people get the right treatment faster?
Patients need hospital admission which usually lasts two weeks. Getting the right treatment earlier means that we can make hospital stay shorter and also improve the clinical outcomes of the disease. During the course of hospitalisation some of the patients will not get better at the first course of treatment. Getting the right treatment earlier will help to avoid this.
There’s a lot of talk about using antibiotics wisely. Could your work help target treatments so we use fewer “just-in-case” drugs?
Absolutely! Part of the pathology of the disease is coming from the immune response. This means that sometimes the response of the body to the infection may cause harm to the body. Understanding how the body responds to bacteria will be helpful to develop treatments which do not rely on antibiotics.
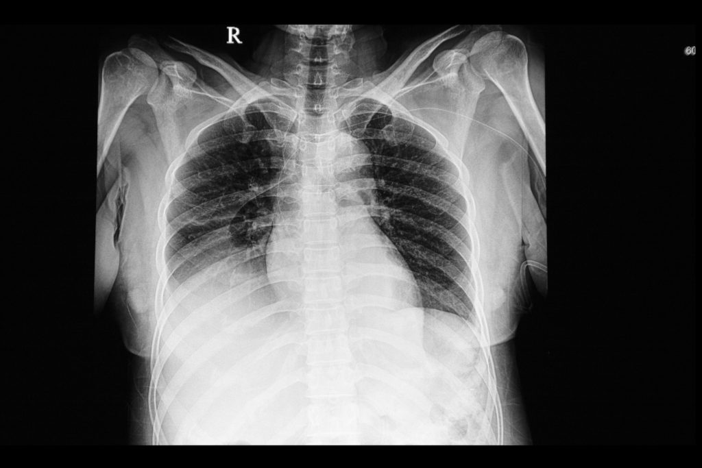
Header image: a chest x-ray film of a patient with right lung pleural effusion. A right heart venous catheter is also shown.


